Osteoarthritis
 |
| Pain, swelling, stiffness and restricted movement in the affected joint |
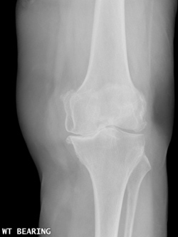
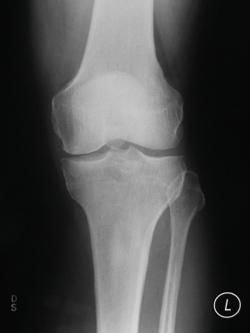
Osteoarthritis, also called degenerative joint disease is the most common form of arthritis. It occurs most often in older people. This disease affects the tissue covering the ends of bones in a joint (cartilage).In a person with osteoarthritis, the cartilage becomes damaged and worn out causing pain, swelling, stiffness and restricted movement in the affected joint. This condition most commonly affects the joints in hips, knees, hands, and spine. Rarely, the disease may affect the shoulders, wrists and feet.
Management of Osteoarthritis
There are several treatments and lifestyle modifications that can help you ease your pain and symptoms.
- Medications: Pain-relieving medications such as NSAIDs, COX-2 inhibitors and opioids may be prescribed. Topical medications such as ointments can be applied over the skin where there is pain. If the pain is very severe, corticosteroid injection can be given directly into the affected joint to ease the pain.
- Other Treatments: Your physiotherapist will teach you exercises to keep joints flexible and improve muscle strength. Heat/cold therapy which involves applying heat or cold packs to the joints provides temporary pain relief. Lifestyle modifications can be done to control weight and avoid extra stress on the weight-bearing joints.
- Surgery: Joint replacement surgery is considered as an option when the pain is so severe that it affects your ability to carry out normal activities.
 |
 |
| Osteoarthritic Knee |
Normal Knee |
Arthritis
The term Arthritis literally means inflammation of a joint, but is generally used to describe any condition in which there is damage to the cartilage. Inflammation is the body's natural response to injury. The warning signs that inflammation presents are redness, swelling, heat and pain.
The cartilage is a padding that absorbs stress. Usually the pain early on is due to inflammation. In the later stages, when the cartilage is worn away, most of the pain comes from the mechanical friction of raw bones rubbing on to each other.

|